
很多人心里都有个没底的账:肝脏是个“哑巴”,不疼不痒的时候最让人心慌,特别是那些揣着“乙肝携带”帽子走了半辈子的人,或者仅仅是觉得自己这台机器运转久了该修修的老年朋友。去医院吧,那一堆机器名字看着就头大,到底是选那个涂满胶水的“探头”在肚皮上滑来滑去,还是硬着头皮躺进那个嗡嗡作响的“大圆筒”里吃点辐射?

影像学的“透视眼”到底咋选才不亏?
肝脏检查这事儿,本质上就是给那个实心的肉疙瘩拍个“写真”,但彩超和CT这俩玩意儿,拍出来的风格截然不同。你得知道,彩超就像是拿着手电筒在浑水摸鱼,它靠的是声波的回声,对肝囊肿这种一肚子水的“水货”那是看得清清楚楚,甚至比CT还灵光;而CT它是把人像切香肠一样一层层切开看,对于那种实心的、硬邦邦的小结节,分辨率那是相当的高。很多人觉得贵的就是好的,直接冲着增强CT去,其实没必要,对于绝大多数肝脏形态正常的非肝硬化人群,彩超那个“回声增强”或者“低回声”的描述,哪怕有点模糊,只要没有血流信号的异常纠缠,它就是极具性价比的初筛手段。反倒是那些不管是胖是瘦,只要肚子里气多、或者肝脏位置长得刁钻躲在肋骨后面的人,彩超探头就是个“瞎子”,这时候才轮到CT这个“大力士”登场,用X射线强行穿透这点骨肉屏障。

这四类人,拿着彩超单子就能把心放肚子里?
单纯的乙肝表面抗原阳性,但那个转氨酶常年像睡着了一样趴在正常值不动的“健康携带者”,他们的肝脏质地往往跟嫩豆腐似的,没有那些乱七八糟的纤维化条索,超声波穿透过去那是畅通无阻,加上每年定期的甲胎蛋白验血,这双重保险足够把风险那一关卡得死死的。
再就是那些哪怕年纪大了,但体型保持得跟小伙子一样精瘦的老人家,肚子皮薄得都能摸到骨头,超声探头都不用使劲按就能把肝脏每一寸都扫到底,这种“透声性”极好的身体条件,简直是给彩超量身定做的。还有就是那些仅仅查出有单纯性脂肪肝,且没有合并其他杂七杂八代谢问题的朋友,超声对脂肪那个特有的“明亮肝”反应特别敏感,反而CT有时候会因为密度的微妙变化把轻度脂肪肝给漏了。
最后一种就是咱们常说的“肝血管瘤”老病号,这东西在超声下那是典型的“高回声光团”,特征太明显了,根本不需要大动干戈去打造影剂做CT确认。

必须要上“硬菜”的特殊时刻
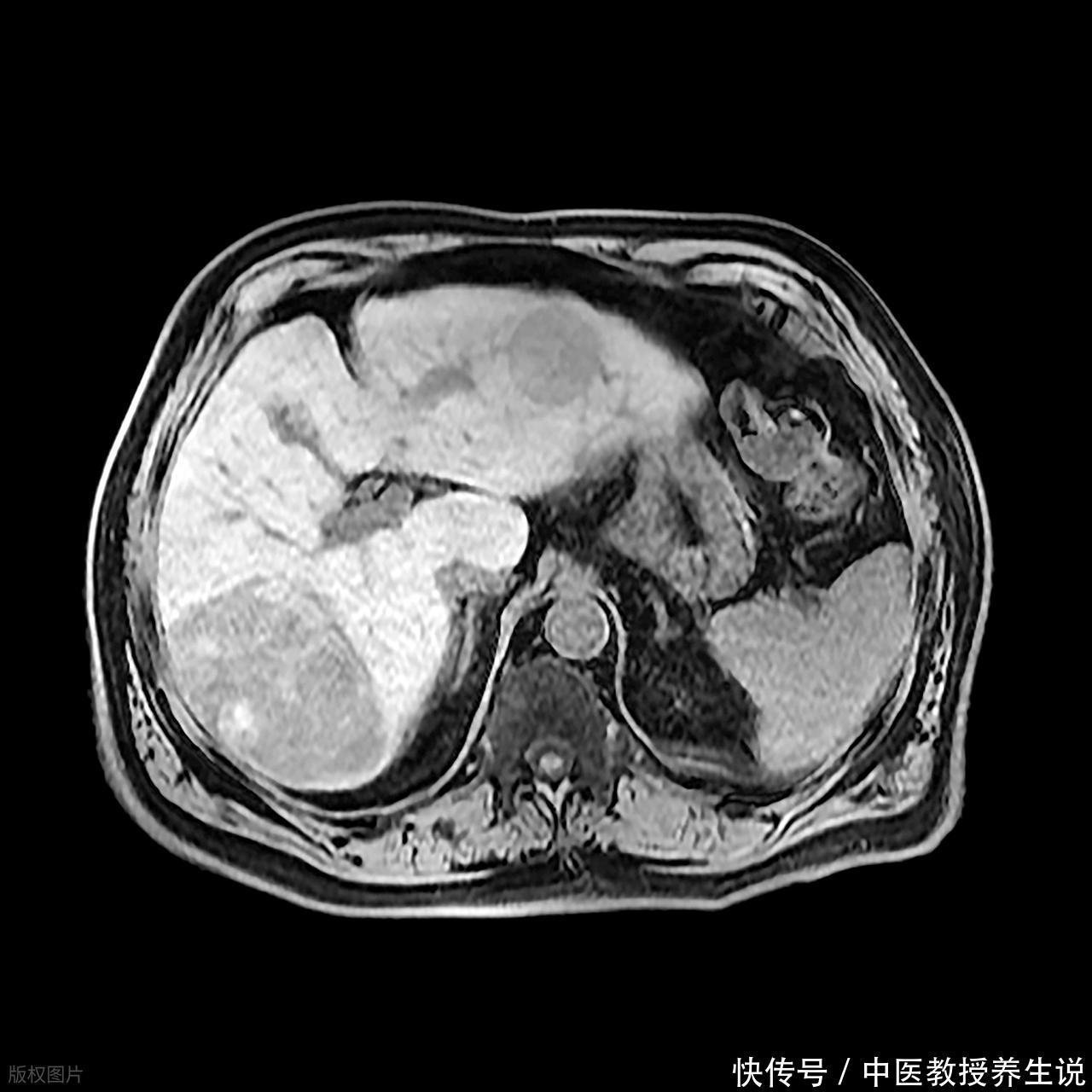
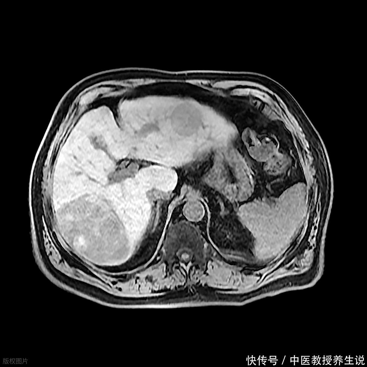
这事儿也不能一概而论,真到了肝脏那层被膜变得坑坑洼洼,或者是超声医生皱着眉头说“回声增粗、分布不均”的时候,那就别省那点钱了。有些微小的、只有几毫米的“小坏蛋”,尤其是那种长在肝脏边缘或者膈顶这种超声死角的,或者是已经有了肝硬化底子的肝脏,那是必须要上增强CT或者核磁共振来“照妖”的。
这时候普通的平扫就像是在雾里看花,非得往血管里打点药,利用癌细胞抢血抢得快、退得也快的特性,来个“快进快出”的对比,才能把那个坏东西给揪出来。当然,这也得结合那个叫甲胎蛋白的指标,要是这指标莫名其妙往上窜,哪怕片子上看着干净,也得往深了查,哪怕是那个不仅贵还费时间的核磁共振,该做也得做。

其实身体这台机器,虽然偶尔会有些磨损和老化,但它也有着强大的自我修复和维持平衡的能力。咱们没必要因为一两个指标的波动就自己吓唬自己,也没必要总是盯着最高端的检查不放。
广升网-广升网官网-最新配资平台导航-炒股配资学习提示:文章来自网络,不代表本站观点。